
Surgery
Surgery, is a discipline that relies greatly in the ability and knowledge of the person performing it, luckily for us, Victor is the only RCVS advanced practitioner in small animal surgery working full time in the county, we have also invested in the equipment needed for him to perform surgery to the best of his abilities; all this while we still cater for the most common procedures like neutering.
We can perform the following types of surgery:
Laparoscopic surgery, also known as keyhole surgery, we can perform routine laparoscopic surgery, such as neuters, but also more advanced laparoscopic surgery, such as pericardiectomies, lung lobectomies, cholecytectomies, etc.
The price for laparoscopic ovariectomy ranges between £550 and £650, laparoscopic biopsies between £900 and £1200, other procedures are discussed in a case by case basis.

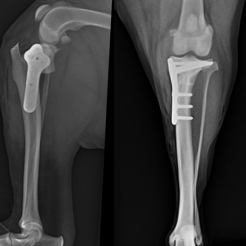
Orthopaedic surgery, we are able to repair fractures, operate in joints, perform arthroscopy, etc. below you can find a list of prices for the most common procedures (the prices include all that your pet will need in the day like blood tests, radiographs, surgery, medications, and also the medications that we routinely send them home with)

| Tibial plateau levelling osteotomy (TPLO) <25kg | £2500 |
| Tibial plateau levelling osteotomy (TPLO) 25-40kg | £2800 |
| Tibial plateau levelling osteotomy (TPLO) >40kg | £3200 |
| Extracapsular stabilisation (lateral suture) <10kg | £1500 |
| Tibial tuberosity transposition (TTT, patellar luxation surgery) <15kg | £2000 |
| Tibial tuberosity transposition (TTT, patellar luxation surgery) >15kg | £2400 |
| Arthroscopy (unilateral, bilateral) | £2000-£2500 |
| Femoral head and neck ostectomy (FHNO) in a cat | £1800 |
| Femoral head and neck ostectomy (FHNO) in a dog | £2000-£2200 |
| Toggle procedure for hip dislocation | £2500 |
| Simple fracture repair requiring only pins and tension bands | £1500-£2000 |
| Simple fracture requiring metal plate | £2000-£3000 |
| Complex fractures | £2500-£4000 |
| Sedation and radiographs for follow up | £250-£300 |
Soft tissue surgery, we are able to perform a large variety of soft tissue surgeries, such as removing tumours, gallbladders, anal sacs, etc. BOAS surgery, thoractic surgery, liver lobe resections, etc. We have instruments that allow us to perform these surgeries in a safer manner, such as harmonic scalpel, electric scalpel, surgical clips, surgical staplers, etc.
Below there is a price list of some of the most common soft tissue surgical procedures.

| Brachycephallic Obstructive Airway Syndrome (BOAS) | £2000 |
| Feline thyroidectomy | £1000-£1500 |
| Total ear canal ablation and lateral bulla osteotomy (TECA & LBO) unilateral | £2000-£2500 |
| Total ear canal ablation and lateral bulla osteotomy (TECA & LBO) bilateral | £3000-£3500 |
| Laryngeal tieback | £2500 |
| Salivary mucocoele | £2000 |
| Small uncomplicated mass resections | £600-£1000 |
| Large or complicated mass resections | £1000-£2200 |
| Mass resections requiring reconstructive flaps | £2000-£3000 |
| Simple abdominal surgery (splenectomy, gastrotomy, biopsies, etc.) | £1000-£2000 |
| Advanced abdominal surgery | £2000-£4000 |
| Anal sacculectomy unilateral/bilateral | £1500-£2000 |
| Thoracic surgery | £2000-£4000 |
